치료 전후 페이지
본문 바로가기
메인메뉴
의료진 소개
첨단 시스템
괴정수석치과 특장점
TO. 소중한 인연
병원둘러보기
치료 전후
괴정수석치과 이야기
진료안내
전체메뉴
의료진 소개
첨단 시스템
괴정수석치과 특장점
TO. 소중한 인연
병원둘러보기
치료 전후
괴정수석치과 이야기
진료안내
메인메뉴
의료진 소개
첨단 시스템
괴정수석치과 특장점
TO. 소중한 인연
병원둘러보기
치료 전후
괴정수석치과 이야기
진료안내
회원가입
로그인
home
치료 전후
오래된 앞니 브릿지
오랜기간 사용하던 앞니 브릿지를 제거하고 자연치아 색상과 조화를 이루도록 새로운 브릿지로 교체한 사례입니다.
작성일
2025-10-01
라미네이트 + 오래된 보철(크라운)교체
앞니의 오래된 보철(크라운)을 새로운 지르코니아 크라운으로 교체하고 라미네이트를 병행한 사례입니다.
작성일
2025-09-17
임플란트 식립할 공간이 부족해요
오랜기간 방치되어 임플란트 심을 공간이 부족해서 부분교정으로 임플란트 공간을 확보하여 임플란트를 완성한 사례입니다.
작성일
2025-09-09
치조골 이식술 + 임플란트 식립
치조골(치아주변의 뼈)이 소실되어 발치후 치조골 이식술과 함께 임플란트를 식립한 사례입니다.
작성일
2025-09-08
치조골 이식술(뼈이식)
오랜기간에 걸쳐 치아주위의 뼈가 소실되어 발치를 하고 인공뼈 이식을 한 사례입니다.
작성일
2025-09-08
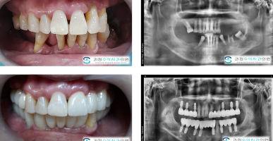
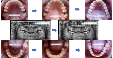
교정병행 다수의 임플란트
벌어진 앞니를 교정장치를 사용하여 모아주고 다수의 임플란트를 진행한 사례입니다.
작성일
2025-09-03
임플란트
다수의 치아를 발치해야하는 상태로 사용할 수 없게된 치아를 발치하고 임플란트를 식립하여 회복한 사례입니다.
작성일
2025-09-03
사랑니를 뽑아야하는 이유
보이시나요? 사랑니를 발치해보니 오랜기간 사용해야하는 큰 어금니가 사랑니의 영향으로 흡수가 되었어요....
작성일
2025-09-03
잇몸복원수술
외상으로 잇몸뼈의 형태와 잇몸의 형태가 소실된 채로 보철을 하고 계셨는데 이번 기회에 잇몸성형술을 이용하여 복원한 사례입니다.
작성일
2025-09-02
상악 전치부 임플란트 + 하악 부분 교정
임플란트와 부분교정을 함께 진행한 사례입니다.
작성일
2025-09-02
골융기제거술
혀아래쪽으로 울퉁불퉁한 잇몸뼈 골융기(토러스)를 제거한 사례입니다.
작성일
2025-09-02
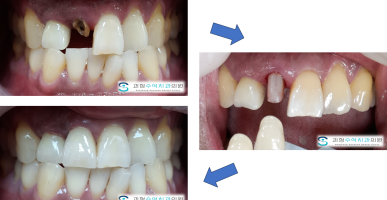
기둥을 이용한 앞니 보철
10년전 크라운을 벗겨내고 기둥(post)를 이용하여 치아형태를 만들어 지르코니아 크라운을 만들어 드렸습니다.
작성일
2025-09-02
전치 재보철
오래된 앞니 크라운을 벗겨내고 새로운 지르코니아 크라운으로 만들어 드렸습니다.
작성일
2025-09-02
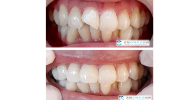
상악 전치 레진 치료
부러진 치아를 레진을 이용하여 치료한 사례입니다.
작성일
2025-09-02
사랑니 발치 및 임플란트
사랑니 발치와 함께 임플란트를 식립해 드렸습니다. 뼈가 많이 녹아 없어진 부분은 뼈 이식을 하여 다시금 회복할 수 있도록 하였습니다.
작성일
2025-08-28
열린
1
페이지
2
페이지
맨끝
검색
검색대상
제목
내용
제목+내용
글쓴이
글쓴이(코)
검색어
필수
검색
닫기
네이버예약
블로그
인스타그램
빠른상담
TOP
네이버 예약
블로그
인스타그램
네이버 예약
블로그
인스타그램
상호명
괴정수석치과의원
주소
부산광역시 사하구 낙동대로 230 수민빌딩 3층 301호
대표자
박 준
사업자등록번호
397-94-01746
Copyright Goejeong Sooseok dental clinic. all right reserved. Designed by
Firsttouch Company
본 사이트의 모든 수집을 엄격히 금합니다. 무단 수집 시 법적 처벌을 받을 수 있습니다.